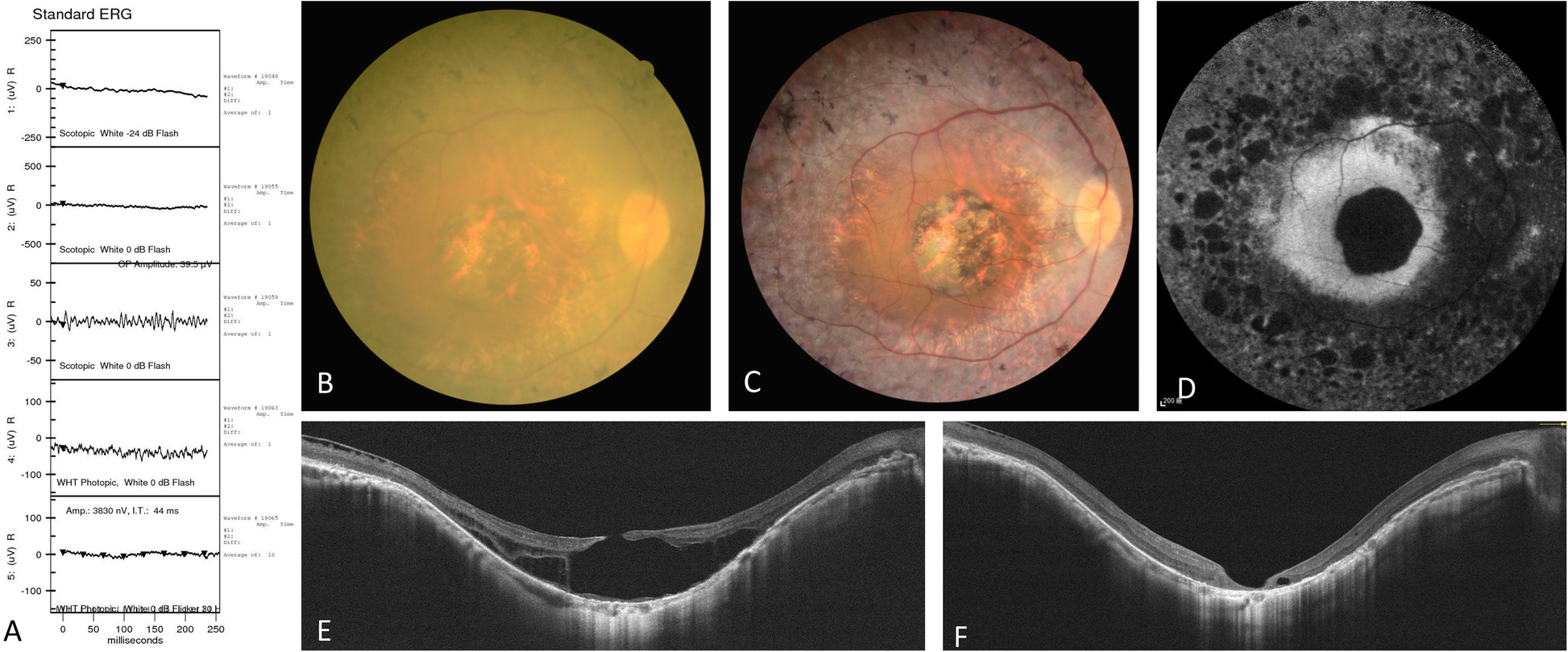
Fig. 1

Pre-operative and post-operative changes of the right eye. (A) Pre-operative electroretinography. (B) Fundus photograph before surgery. (C) Fundus photograph 3 months after surgery. (D) Fundus autofluorescence after surgery. (E) Horizontal optical coherence tomography before surgery. (F) Horizontal optical coherence tomography 3 months after surgery