Fig. 1

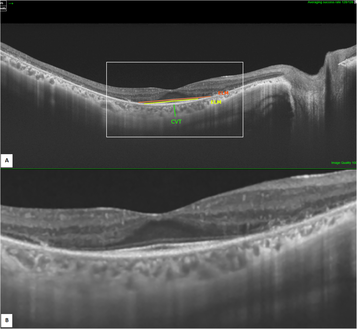
SS-OCT image of the right eye (A: annotated scan, B: magnified unannotated scan) showing measurement of EZ (in yellow), ELM (in orange), and subfoveal CVT (in green)

SS-OCT image of the right eye (A: annotated scan, B: magnified unannotated scan) showing measurement of EZ (in yellow), ELM (in orange), and subfoveal CVT (in green)